
Dégénérescence maculaire liée à l’âge (DMLA)
Besoin d’une consultation ?

Qu’est-ce que la dégénérescence maculaire liée à l’âge (DMLA) ?
La DMLA est une affection maculaire, acquise, non inflammatoire atteignant les personnes de plus de 50 ans et se traduisant par une baisse progressive de la vision aboutissant à une perte de la vision centrale.
Ces patients ne deviennent pas aveugles mais perdent progressivement le champ de vision utile pour la lecture, la conduite et la vision fine. La vision périphérique est généralement préservée, ce qui permet à ces patients de conserver une certaine autonomie avec notamment la possibilité de se déplacer et de réaliser les gestes de la vie courante sans aide extérieure.
Qui peut être concerné ? Quels sont les types de complications ?
Épidémiologie
On estime que 12% de la population entre 65 ans et 75 ans présente une DMLA, et ce nombre augmente chaque jour. En France, il s’agit de la première cause de malvoyance et on pense que 1 million de personnes sont concernées. Ce nombre devant être multiplié par 3 d’ici à 25 ans. Aux États-Unis, on estime à 15 millions le nombre de personnes touchées par la DML
Les facteurs prédisposant
Des facteurs de susceptibilité génétiques existent, auxquels s’associent des facteurs généraux (âge, hypertension artérielle) et environnementaux (tabac++, soleil).


Quels sont les signes qui doivent vous alerter ?
Trois symptômes principaux sont le plus souvent rapportés :
- métamorphopsies : une DMLA commence habituellement par une déformation des images (ou métamorphopsies). La mise en évidence de ces déformations peut être aidée par l’utilisation d’une grille d’AMSLER.
- baisse de la vision : cette dernière est souvent relatée mais peut être très variable d’une personne à l’autre
- présence de tâches sombres dans le champ de vision (ou scotomes) central.
Quelles sont les anomalies du fond d’œil ?
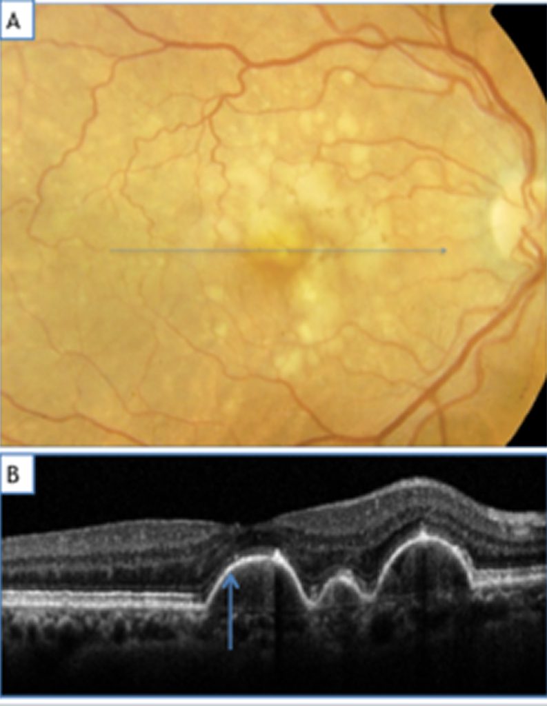
Les premières anomalies observées au fond d’œil sont de petits dépôts sous rétiniens que l’on nomme « Drusen ». Ces derniers sont le plus souvent asymptomatiques, mais peuvent évoluer vers une DMLA.


On distingue classiquement deux grands types de DMLA.
La forme dite « sèche » ou atrophique
Il s’agit de la forme de DMLA la plus fréquemment rencontrée. La rétine va être le siège d’un amincissement progressif aboutissant à une diminution de densité des photorécepteurs.
Dans ce cas, l’examen en OCT (Optical Coherence Tomography) de la macula et des photographies du fond d’œil vont permettre d’apprécier le degré d’atrophie et d’en suivre l’évolution.
La forme dite « humide » ou exsudative
Des petits vaisseaux, que l’on nomme néovaisseaux, vont apparaître sous la rétine et provoquer un œdème rétinien et des hémorragies rétiniennes. Ces néovaisseaux sont identifiés grâce à un examen angiographique et OCT de la macula.


Comment le COMR intervient-il sur cette spécialité ?
Quels sont les traitements actuels de la DMLA ?
Dans les formes atrophiques, il n’existe actuellement aucun traitement capable de remplacer les cellules rétiniennes perdues.
Une supplémentation vitaminique permettrait de ralentir l’évolution de la maladie et de réduire le risque d’apparition de néovaisseaux. La prévention des formes graves passe également par la réduction des facteurs de risque (arrêt d’un tabagisme, protection solaire, alimentation variée).
Dans les formes exsudatives, le traitement de référence est une injection dans le vitré d’un produit bloquant un facteur de croissance vasculaire (anti-VEGF). Ces injections intravitréennes sont réalisées dans une salle dédiée pour ce type de traitement.
Comment surveiller une DMLA ?
Dans les formes précoces, une autosurveillance par les patients, à l’aide d’une grille d’Amsler, doit être réalisée toutes les semaines. Des photographies du fond d’œil et un examen OCT de la macula seront réalisés tous les 6 à 9 mois.
Dans les formes exsudatives, des contrôles réguliers (souvent mensuels au début) de l’acuité visuelle, du fond d’œil et de l’OCT maculaire sont nécessaires pour juger de la nécessité d’un nouveau traitement.
Un parcours de soin optimisé
Mise en évidence d’une DMLA soit lors d’une consultation “classique” au moyen d’un OCT maculaire qui peut être complété par une angiographie rétinienne ou un OCT angiographie, soit à la suite d’une consultation en urgence pour des symptômes visuels (baisse d’acuité visuelle, métamorphopsies, tache noire dans la vision…)
Les patients susceptibles de développer une DMLA suivis au cabinet sont en général sensibilisés au risque d’exsudation et connaissent les symptômes devant les faire consulter en urgence (grille d’Amsler).

Notre équipe de médecins est là pour vous
Questions fréquentes sur la DMLA
Comme son nom l’indique (dégénérescence maculaire “liée à l’âge”), le vieillissement maculaire en est la principale cause. Les prémisses de la DMLA sont détectées par un examen du fond d’oeil complété par un OCT maculaire.
Des facteurs génétiques sont clairement impliqués dans la genèse de la maladie.
Le tabagisme est l’un des seuls facteurs environnementaux reconnus.
Les produits anti VEGF et/ou anti-angiopoiétine indiqués dans la DMLA exsudative (humide) ont un mécanisme de fonctionnement proche au niveau pharmacologique mais des distinctions démontrées par différentes études cliniques.
La DMLA est une maladie hétérogène (néovaisseaux de type 1, 2, 3, polypes, néovaisseaux d’autre origine…) et votre médecin vous recommandera le produit le plus adapté aux caractéristiques de votre maladie.
En cas d’échec thérapeutique ou de récidives très rapprochées, il vous proposera sûrement de changer de produit (switch).
Les anesthésiants locaux fonctionnent très bien contre la douleur de l’injection. En revanche la sensation (pression…) n’est pas abolie par les gouttes. Le principal inconfort vient de la désinfection conjonctivale, qui est indispensable pour limiter le risque infectieux.
Elle est de courte durée et est dans l’immense majorité des cas améliorée par l’instillation de larmes artificielles post injection intravitréeenne (IVT).
Dans les études cliniques depuis 2006, le principal facteur de risque de perte visuelle irréversible chez les patients souffrant de DMLA est le sous-traitement (pas assez d’injections) pour des raisons variées : RDV manqué, problème de santé intercurrent, lassitude…
Au sein du cabinet ophtalmologique maison Rouge, les médecins proposent généralement l’usage du protocole Treat and Extend qui propose des injections systématiques dont l’intervalle est progressivement étendu lorsque la macula va bien. Ce protocole est celui qui a montré le meilleur compromis entre préservation visuelle et tolérance par les patients du fardeau thérapeutique des injections répétées. Rappelons qu’aux débuts de la DMLA, le traitement consistait en des injections systématiques mensuelles pendant des années (MARINA, ANCHOR, protocole CATT…).
Nos articles sur la DLMA
Pas d’actualités