
Pathologie de la rétine
Auteurs : Scemama Timsit C, Addou-Regnard M, Paques M, Mauget-Faÿsse M, Sahel J-A, Wolff B. (DMLA), Wolff B,
Scemama Timsit C, Paques M, Mauget-Faÿsse M. (Occlusions veineuses rétiniennes), Wolff B, Addou-Regnard M, Scemama Timsit C, Mauget-Faÿsse M,Sahel J-A. (Rétinopathie diabétique)
Résumé
« De nombreuses pathologies sont traitées en rétine médicale dont les plus fréquentes sont la DMLA, la rétinopathie diabétique et les occlusions veineuses. Ces pathologies atteignent très souvent la
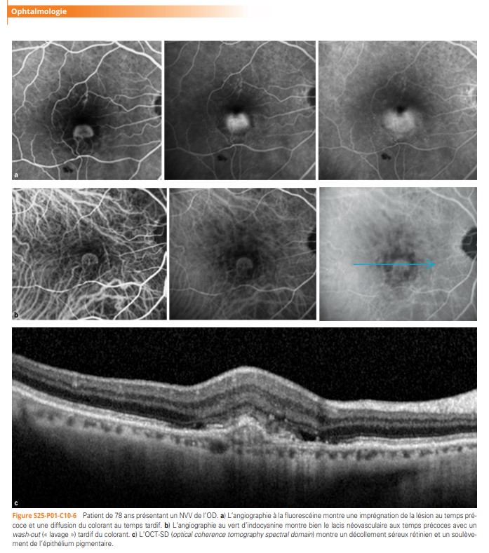
macula (région centrale de la rétine) avec, pour conséquence, une baisse de la vision centrale. Les moyens d’exploration et de suivi des maladies rétiniennes, sont aujourd’hui assurés par l’OCT (optical coherence tomography) et l’angiographie à la fluorescéine et/ou au vert d’indocyanine. L’arsenal thérapeutique des maladies de la rétine s’est aujourd’hui étoffé et comprend les traitements par laser thermique, photothérapie dynamique et injections intravitréennes (anti-vascular endothelial growth factor [VEGF] ou corticoïdes). »
Conclusions
Beaucoup de progrès restent nécessaires concernant le diabète qui demeure un enjeu thérapeutique majeur. Le futur est prometteur avec les nouveaux traitements de la rétinopathie diabétique, en particulier dans la prise en charge de l’œdème maculaire.